凯发k8

English 凯发k8集团企业邮箱

三、皮肤器官原位再生回复机理

作者:徐荣祥 出书社:中国科学手艺出书社 刊行日期:2009年7月
     [演讲稿]在人体各器官中 ,,,,无论是从架构照旧功效讲 ,,,,皮肤和胃肠都是最直观的两大器官 ,,,,同时 ,,,,也是保唬;;;;ず桶芑逵镏饰盏牧酱笃鞴 ,,,,它们关于整个机体生命是必需的 ,,,,没有皮肤和胃肠就没有生命。。。 。因此 ,,,,对全身器官的再生回复 ,,,,首先要从皮肤和胃肠入手。。。 。本章针对“皮肤器官原位再生回复”举行详细的叙述。。。 。
     皮肤器官再生回复手艺是真正意义上实现皮肤器官原位再生回复 ,,,,这是人类的梦想 ,,,,更是生命科学最前沿已乐成实现的人体再生科学成绩之一。。。 。皮肤再生和身体内其他器官原位再生一样 ,,,,是使用人体组织的潜能再生细胞(皮肤具有再生潜能的细胞和角卵白19型干细胞)原位再生为组织器官来实现的 ,,,,同时实现所有皮肤器官的剖解结构和心理功效的年轻化 ,,,,并通过提高皮肤器官生命再生涯力发念头体各器官生命活力的提高 ,,,,之以是能够被称之为“皮肤器官原位再生回复手艺” ,,,,即是从人体器官再生科学成绩的角度入手 ,,,,使用器官原位再生潜能 ,,,,回复皮肤器官中种种细胞和组织 ,,,,使其再生恢回复有的结构和功效 ,,,,实现延缓和中止皮肤朽迈 ,,,,实现皮肤器官生命寿命的再生接力 ,,,,再生回复整个皮肤器官已经失去的青春活力。。。 。
     详细的皮肤器官原位再生回复手艺机理 ,,,,除人体器官再生的配合潜能再生细胞原位再生回复的细胞学机理外 ,,,,我在这里着重于从皮肤组织学讲起。。。 。皮肤的组成和人体其他器官的组成是一样的 ,,,,都是由上皮组织、结缔组织、神经组织、肌肉组织组成。。。 。从组织学的角度讲 ,,,,人体器官的再生必需将这四大组织所有再生 ,,,,才华实现人体器官的再生 ,,,,若是实现不了四大组织的同时再生 ,,,,就没有步伐真正实现器官的再生。。。 。
     【组织学及再生医学基础理论】

      在这里 ,,,,用人们以为不可能的断指原位再生回复实例做一个引申(***的例子 ,,,,拇指小节离断 ,,,,离断后连忙在医院将已经断掉的部分与拇指举行缝合毗连 ,,,,但缝合后断掉的指体并没有成活 ,,,,此后 ,,,,我们不得不必再生的要领 ,,,,对已经坏死的断指原位举行再生 ,,,,一个多月的时中止指再生完成 ,,,,见断指再生的图片) ,,,,我们都知道 ,,,,断指再生至今仍被科学界称为一种梦想 ,,,,由于科学家们都很清晰实现断指再生具有相当大的生命科学基础难度 ,,,,它涉及人体四大组织、60多种组织器官的再生和回复 ,,,,没有器官原位再外行艺支持 ,,,,永远都无法实现。。。 。2008年科学杂志还组织250余名专家举行未来生命科学突破的研究展望 ,,,,其中止指再生为未来有可能实现的生命科学突破。。。 。断指是涉及指骨、肌肉、神经、甲床、皮肤等的离断。。。 。实现断指再生 ,,,,可不是看似简朴的心理性修复 ,,,,而是必需要接纳原位再生回复手艺再生回复断止亓60多种组织器官。。。 。在现在生命科学和医学的理论上是不可能的事 ,,,,可是 ,,,,我们实现断指原位再生的手艺已经是20年前的临床通例手艺了。。。 。
     凯发k8断指再外行艺是指断指创面在再生营养物质的作用下 ,,,,同时在人体的统一调控下 ,,,,四大组织同步再生生长 ,,,,包括皮肤、肌肉、骨骼、附件等 ,,,,并且平行向上移行 ,,,,这样约莫50天断指就可以完全回复了 ,,,,并且回复后的组织器官与原有器官完全一样 ,,,,没有接口和痕迹 ,,,,其功效也和原来未断指时100%一样。。。 。现在 ,,,,有的医院仅断指再生就可治愈上千例 ,,,,像东莞东华医院经统计已经治愈断指患者2769例 ,,,,以是我们发明的这项被当今科学界称之为天方夜谭的断指再外行艺 ,,,,早已成为一项通例手艺在我国临床上被普遍应用。。。 。
     通过以上断指再生的实践 ,,,,不需要再多讲什么就可知道 ,,,,断指再生都能够实现 ,,,,皮肤再生则是很简朴的事情了 ,,,,更况且我们已经再生了23个国家的2000多万烧伤病人的皮肤 ,,,,人的皮肤再生回复马上会在任何人的身体上爆发 ,,,,人们就会很快离别皮肤的朽迈 ,,,,长时间坚持皮肤器官的年轻状态 ,,,,纵然已经朽迈的皮肤也不必担心 ,,,,可再生回复回应有的年轻状态了。。。 。
     皮肤器官中的上皮组织包括表皮和真皮在内的一些特殊附件 ,,,,像汗腺、皮脂腺、血管内皮等 ,,,,都是功效性的 ,,,,基底膜以上的表皮部分都是上皮组织 ,,,,由基底膜延伸到真皮内里的皮肤附件好比汗腺、皮脂腺能爆发许多的渗透功效 ,,,,因此 ,,,,上皮组织在皮肤器官的功效中施展着主要的作用。。。 。
     皮肤器官中的结缔组织包括表皮基底膜、真皮组织、皮下组织、血液。。。 。主要起垫衬皮肤附件、支持皮肤表皮、保唬;;;;せ宓茸饔。。。 。
     皮肤器官中的神经组织主要是神经纤维和种种神经小体 ,,,,具有接受刺激和传导兴奋的功效 ,,,,是皮肤及皮肤附件活动的功效单位。。。 。
     皮肤器官中的肌肉组织主要包括血管平滑肌、汗毛立毛肌以及汗腺周围的肌细胞 ,,,,正常皮肤内的肌肉组织在受到刺激信号时会爆发响应的缩短反应 ,,,,也可随皮肤器官自身和机体自身的体液调理爆发缩短反应。。。 。
     我们要想实现正常、非损伤性皮肤的再生回复 ,,,,必需首先启动上述原有皮肤中四大组织的原位自动再生更新 ,,,,从手艺难度上来说要比损伤性皮肤再恢复要难堪多 ,,,,由于损伤性的皮肤 ,,,,可以通过再生让它重新生长 ,,,,但朽迈皮肤的细胞还在 ,,,,怎样让它更新成年轻的是一大新的难题。。。 。可是 ,,,,我们现在终于乐成了 ,,,,可以让非损伤性的皮肤、胃肠、胃肠粘膜所有实现原位再生更新 ,,,,事实证实 ,,,,接受再生回复再外行艺的所有人都获得了同样的可喜效果 ,,,,粘膜能重新原位再生出来 ,,,,皮肤逐渐终止朽迈并恢复年轻等等。。。 。由于皮肤处在外情形中受到的刺激比胃肠更大 ,,,,加之皮肤器官的心理特殊性 ,,,,并且皮肤接触的物质由于血管的功效问题 ,,,,一些具有半抗原性的因素险些无法吸收 ,,,,以是我们对皮肤器官的再生接纳了外源性导入和内源性口服相连系的要领。。。 。虽然仅外源性再生物质就能起到很好的作用 ,,,,但加上内源性再生物质就能使皮肤器官原位自我更新和自我再生回复朽迈的组织。。。 。
     【再生物质与结缔组织的关系】
     本节针对皮肤器官和其中的上皮组织、结缔组织等这些基础的组织学知识举行叙述。。。 。各人都应熟悉 ,,,,表皮内从基底膜以上的都是上皮组织 ,,,,由表皮基内情胞层延伸到真皮内里的皮肤附件 ,,,,好比汗腺、皮脂腺 ,,,,也是上皮组织,能爆发许多的渗透功效。。。 。真皮内有结缔组织及皮肤附件 ,,,,结缔组织有多种 ,,,,有毗连的 ,,,,有垫衬支持的 ,,,,有合成纤维的等。。。 。而结缔组织的功效就是毗连垫衬 ,,,,所有器官内里都含有这些组织。。。 。
     为什么让各人先相识皮肤内的组织因素??????由于我所说的再生与这些组织关系亲近。。。 。我们从外源性的导入再生物质爆发的再生效果看 ,,,,再生营养后皮肤逐渐饱满起来 ,,,,且效果很是显着 ,,,,但这连忙展现的饱满还不是细胞再生爆发的效果 ,,,,而是再生物质与现有的结缔组织融合转变的关系。。。 。我们通过氧气的压力 ,,,,把我们这种再生物质导入到真皮里 ,,,,它就充满到胶原卵白丝之间 ,,,,而胶原卵白丝保存于具有毗连、垫衬支持功效的结缔组织中 ,,,,再生物质与结缔组织融合在一起 ,,,,皮肤连忙饱满了。。。 。有些医学整形美容 ,,,,直接将胶原等注入皮下 ,,,,虽然从外貌上看起来皮肤也饱满了 ,,,,但现实上并没有被人体吸收 ,,,,而成为异物在体内形成一枚准时炸弹 ,,,,随时都可能对人体爆发危害。。。 。而凯发k8再生物质导入真皮以后就和真皮内里的结缔组织融合了。。。 。皮肤结缔组织包括了纤维、细胞外间质等 ,,,,但不是功效单位 ,,,,它90%的因素是脂肪酸。。。 。虽然成纤维细胞爆发的胶原卵白丝是以氨基酸为主 ,,,,但也必需连系脂肪酸才华形成。。。 。胶原卵白丝不与外源胶原卵白质连系 ,,,,不是说把胶原卵白放在皮肤内就能形成丝 ,,,,而是这种胶原卵白丝必需通详尽胞的生物自我合成才行 ,,,,借用任何外源性的手段好比饮食直接摄入高卵白等都没有步伐直接天生。。。 。再者 ,,,,若是从皮肤外面直接导入卵白质 ,,,,这些卵白质即便能够进入皮下 ,,,,也必需首先剖析成氨基酸才可能被吸收和使用 ,,,,可是 ,,,,在正常情形下氨基酸被细胞使用是有条件限制的 ,,,,要凭证细胞的心理需求导入 ,,,,不是一个简朴的物理历程 ,,,,因此 ,,,,直接导入卵白质也是不可行的。。。 。组成胶原卵白的氨基酸有18种 ,,,,这些氨基酸要施展活性 ,,,,必需要有载体 ,,,,这个使他具有活性的载体就是我们要强调的物质——“脂肪酸类物质”(皮肤再生物质) ,,,, “脂肪酸类物质”是一组不饱和脂肪酸。。。 。这项手艺是我们发明的 ,,,,它的泉源非同寻常 ,,,,是我们凭证皮肤组织学和器官再生学的实验研究出来的。。。 。
     这些结缔组织是真皮的主要组成因素 ,,,,必需营养好才华回复为年轻状态。。。 。要使这些胶原卵白丝恢复整齐有序 ,,,,必需通过两个途径 ,,,,一个途径直接通过皮肤导入 ,,,,用两个大气压的高压氧气导入这种不饱和脂肪酸 ,,,,让它加入到真皮结缔组织代谢内里 ,,,,可以立纵然松散的结缔组织和纤维成束 ,,,,以是体验过我们皮肤器官原位再生回复再生的人都会发明再生物质导入后会马上收效。。。 。另一个途径是通过再生物质被成纤维细胞蚕食后 ,,,,使成纤维细胞原位再生回复向年轻状态过渡 ,,,,使爆发的胶原纤维卵白丝吐出后不再成散状的 ,,,,而是重新成束状的 ,,,,这样才华包管皮肤在中年时期泛起一种年轻的状态。。。 。
【再生物质与皮肤神经组织的关系】
     决议皮肤的状态年轻与否除了以上两个主要的方面 ,,,,另一个就是皮肤附件和神经组织。。。 。若是皮肤器官内里的神经组织不始终坚持一种兴旺状态 ,,,,皮肤也没有活力。。。 。皮肤的神经组织虽然不是中枢神经 ,,,,可是有神经纤维、神经末梢、压觉神经小体、感受神经小体。。。 。只要这些神经组织能坚持无邪状态 ,,,,人的皮肤就会有动感 ,,,,以是 ,,,,我们在举行皮肤器官再生回复时导入的再生物质内里也含有营养神经的物质 ,,,,可是这种物质绝对不是兴奋剂 ,,,,而是通过神经的再生让神经恢复动感。。。 。其中恢复的主要细胞是雪旺氏细胞 ,,,,把能让雪旺氏细胞再生的因素添加到要导入的再生物质内里。。。 。雪旺氏细胞就是神经纤维外面包绕的神经细胞 ,,,,没有雪旺氏细胞 ,,,,神经纤维就失去功效。。。 。在皮肤内里要坚持神经末梢的兴奋性和神经小体的兴奋性 ,,,,就增添在试验神经再生的时间提取来的营养再生物质因素。。。 。生涯中推拿也可以爆发感受神经和压觉神经刺激 ,,,,使人感应很惬意 ,,,,但恒久刺激就会失去效果 ,,,,这是由于这种生涯美容并没有对生命体自己改变什么。。。 。因此 ,,,,我们说要让神经动起来 ,,,,让其兴奋 ,,,,但这种兴奋不是那种药学的兴奋性 ,,,,而是心理的再生恢复的兴奋性 ,,,,也就是用通详尽胞和组织器官试验获得的再生物质 ,,,,才华真正使其恢复施展心理作用。。。 。

     【皮肤肌肉组织再生与皮肤再生回复的关系】
      肌肉组织在皮肤中主要是汗毛立毛肌和血管壁的平滑肌 ,,,,肌肉和神经是连在一起的 ,,,,一些感受神经、压力神经的神经末梢 ,,,,在爆发信息传给大脑后 ,,,,大脑自身 ,,,,或指挥其他器官爆发种种激素 ,,,,这些激素通过体液循环抵达皮肤 ,,,,使皮肤酿成类似于人神采奕奕的状态。。。 。这主要体现在皮肤的微循环上 ,,,,好比生气的时间面部颜色的转变就是大脑爆发的兴奋激素对血管的反应 ,,,,血管有α和β受体 ,,,,β受体使血管扩张 ,,,,接受激素后面色变红;;;;;;α受体使血管缩短 ,,,,接受激素后面色变白。。。 。这两种受体靠体液支配 ,,,,不是通过局部刺激可以爆发的。。。 。各人常见到的那种皮肤被拍打事后 ,,,,局部会变红 ,,,,那可不是这种缘故原由造成的 ,,,,而是局部有了损伤。。。 。以是我们在皮肤再生的时间也要特殊注重皮肤肌肉组织、血管组织的反应。。。 。

      另外 ,,,,皮肤内里有汗毛立毛肌 ,,,,这汗毛立毛肌是皮肤具有动感的又一决议因素。。。 。肌肉拉动是一种皮肤动态的转变 ,,,,立毛肌缩短不但能渗透皮脂腺里的工具 ,,,,还可以调理皮肤关于外界情形的刺激反应。。。 。汗毛立毛肌起始于毛干的中端 ,,,,终止于真皮乳头层浅部。。。 。皮脂腺是爆发皮脂的(图1) ,,,,立毛肌缩短爆发挤压 ,,,,皮脂腺就倾轧皮脂。。。 。例如粉刺是由于汗毛立毛肌处于不兴奋状态 ,,,,皮脂爆发过多又渗透不畅而造成梗塞。。。 。皮肤里尚有一种肌细胞 ,,,,它漫衍在汗腺周围 ,,,,肌细胞在受到外界刺激或受到机体内体液信号缩短时人就会出汗。。。 。以是实现皮肤肌肉组织的原位再生 ,,,,坚持肌肉年轻状态 ,,,,才是包管皮肤年轻状态的基础。。。 。
     【再生物质与皮肤组织器官】
     我们2002年把整小我私家体的组织(上皮组织、结缔组织、神经组织、肌肉组织)形成的组织器官划分为至少206类 ,,,,其分类依据是细胞种别 ,,,,特殊是从器官再生的细胞学角度划分的。。。 。人的组织分类就四大组织 ,,,,四大组织内里又有许多种类 ,,,,如骨骼肌、心肌、平滑肌等等肌肉组织;;;;;;骨骼、韧带都是结缔组织 ,,,,结缔组织也分许多类型 ,,,,有松散的、有致密的 ,,,,皮肤是松散的结缔组织 ,,,,也正由于皮肤是松散的结缔组织 ,,,,以是我们才华够通过外源性的导入再生营养物质而使皮肤更有弹性(图2)。。。 。要想实现皮肤器官中的表皮、真皮、真皮的附件、肌肉、血管……等所有原位更新 ,,,,就必需要周全的再生启动 ,,,,即导入的物质必需使所有组织所有处于再生状态。。。 。
     关于以上这些结论我们很是有掌握 ,,,,由于我们有20多年的皮肤再生临床履历。。。 。凯发k8湿润烧伤膏并不是一下子就研究出来的 ,,,,从最先的创面湿润到一样平常的创面愈合 ,,,,接着到深二度镌汰疤痕愈合 ,,,,再到深二度愈合无疤痕 ,,,,此后又生长到三度烧伤能愈合有疤痕 ,,,,再到三度烧伤愈合无疤痕 ,,,,以后又希望到不但仅是皮肤烧伤 ,,,,并且伤及到肌肉骨骼 ,,,,都能够实现皮肤再生 ,,,,只要有骨头在 ,,,,就能使软组织和皮肤再生出来 ,,,,这么一步一步走过来的。。。 。以是 ,,,,从皮肤的外貌最先 ,,,,一步一步到最后实现 ,,,,用一个细胞复制再生出所有的细胞。。。 。在这个历程当中我们已经把整个皮肤器官再生出来了 ,,,,并形成了皮肤缺损怎样再生的理论和手艺。。。 。然后再思索正常的皮肤怎样再生 ,,,,正常皮肤的毛细血管有一些带有半抗原性 ,,,,或带有特异倾轧性子 ,,,,一些物质到毛细血管就被阻止了 ,,,,无法进入 ,,,,只能通过淋巴系统被转回 ,,,,因此没有步伐通过毛细血管的吸收来营养细胞。。。 。皮肤和别的器官纷歧样 ,,,,有些带类似抗原性子的因素抵达不了细胞 ,,,,以是要连系外源性注入的要领 ,,,,虽然外源性物质导入量不大 ,,,,可是都能够被导入真皮层。。。 。(图3)汗腺、皮脂腺、毛囊、毛发等现实上从胚胎时期就是由一个干细胞发育来的。。。 。表皮的基内情胞排得很整齐 ,,,,看上去都是一个个的 ,,,,现实上它们是一连的 ,,,,皮肤表皮的上半部分都是靠基内情胞分解而来的。。。 。唬;;;;谇榘厦娓鞑憧梢远济挥 ,,,,但这层基内情胞必需保存 ,,,,只要有这层细胞 ,,,,皮肤的外貌就会恢复得完好无损。。。 。医学上常说的皮肤的心理性再生就是指表皮基内情胞层再生的看法 ,,,,只要这层细胞在 ,,,,就能把表皮外面各层都再生出来。。。 。表皮的组成条理由深层到表层主要是基底层、棘层、颗粒层 ,,,,最上面是角质层。。。 。


     【皮肤原位再生回复手艺的机理焦点】
一样平常的皮肤美容为了让皮肤外貌显得细嫩 ,,,,就想尽步伐从皮肤外貌去死皮 ,,,,死皮去得越多 ,,,,皮肤就越薄 ,,,,外貌也就会越平滑、红润和通透 ,,,,但现实上这是一种皮肤受损的体现 ,,,,并没有真正起到保唬;;;;てし舻淖饔。。。 。由于 ,,,,皮肤一旦损伤到棘层或基内情胞 ,,,,就会泛起常见的美容问题 ,,,,如化妆品斑、色素冷静、激光疤痕等等。。。 。
     而皮肤器官原位再生回复要求实现表皮代谢兴旺、真皮紧致饱满 ,,,,由于真皮下面含有大宗的成纤维细胞 ,,,,而成纤维细胞可以爆发胶原纤维卵白丝。。。 。胶原纤维卵白丝有三种 ,,,,真皮的上部主要是胶原纤维 ,,,,它较量硬 ,,,,网状纤维穿插在真皮下部;;;;;;弹力纤维穿插在种种纤维之间。。。 。这内里的三种纤维 ,,,,一个是横着的 ,,,,一个是网状的 ,,,,一个在内里夹杂着有弹力的。。。 。这三种纤维都涉及成纤维细胞 ,,,,是很是主要的。。。 。要想解决这三种纤维的问题 ,,,,必需把爆发这三种纤维的细胞养好 ,,,,纤维才华养好。。。 。成纤维细胞得不到营养就不可能爆发康健的三种纤维。。。 。
     现在的生涯美容基本上与营养这些纤维没有任何关系 ,,,,主要是由于它没有步伐解决深层营养问题 ,,,,仅仅使皮肤外貌变得平滑罢了。。。 。凯发k8皮肤器官再生 ,,,,就能实现成纤维细胞再生 ,,,,成纤维细胞不是纤维细胞 ,,,,成纤维细胞可以爆发心理性纤维卵白丝 ,,,,而纤维细胞是一种老化的变异的细胞。。。 。人的皮肤随着年岁的增添而老化 ,,,,而成纤维细胞功效越来越低下 ,,,,最后“成纤维细胞”酿成“纤维细胞” ,,,,就不可再爆发胶原卵白丝了 ,,,,没有胶原卵白丝的皮肤就会塌陷。。。 。凯发k8皮肤再生就是要坚持成纤维细胞的功效 ,,,,成纤维细胞功效正常 ,,,,就能一连自动爆发令皮肤充裕的纤维卵白束。。。 。我们在皮肤器官的再生回复上 ,,,,是用氧气导入的步伐 ,,,,将含有种种再生营养因素的再生物质导入皮肤真皮内。。。 。这些物质在真皮的种种组织内里直接施展作用 ,,,,使胶原纤维卵白丝从非束状、散状酿成束状 ,,,,把纤维卵白之间填充得较量充裕。。。 。导入的物质代谢周期是一周密两周时间 ,,,,过了这个时间就自动代谢掉了。。。 。表皮细胞的再生更新也很主要 ,,,,但不如成纤维细胞再生更新主要 ,,,,由于表皮基内情胞自己就是干细胞 ,,,,自身就有再生功效 ,,,,用不必再生物质都可再生 ,,,,只是我们用再生物质能增强并包管它的干细胞功效 ,,,,实现表皮的年轻 ,,,,但我们并没有从细胞再生属性上改变它。。。 。虽然这个表皮干细胞是较量初级的一种近终端干细胞 ,,,,但也包管了整个基内情胞层较强的自我修复能力。。。 。举个例子来说 ,,,,儿童的细胞都是K15(角卵白15 ,,,,数字越大越原始) ,,,,这个细胞生发能力很强;;;;;;一个90岁的老人只有5%的细胞具有活性 ,,,,95%都没有生发能力。。。 。这就诠释了为什么晚年人的皮肤松懈下垂 ,,,,拉伸后无法恢回复状 ,,,,就是由于表皮的基内情胞代谢率基本没有了 ,,,,真皮中胶原卵白丝含量很少。。。 。同样缘故原由 ,,,,晚年人的表皮细腻度也没有年轻人好。。。 。一样平常来说 ,,,,人过了40岁皮肤就有一半的细胞不事情了。。。 。表皮保存许多细胞 ,,,,因此我们导入再生物质后 ,,,,不但是针对成纤维细胞起作用 ,,,,对其他细胞也有作用 ,,,,从表皮一直到毛囊、汗腺、皮脂腺都是立体的营养。。。 。要注重纯粹是皮肤外貌用营养 ,,,,起不到皮肤器官整体再生回复的效果 ,,,,由于没有营养到真皮 ,,,,到不了真皮就没步伐营养毛干、汗腺、皮脂腺等。。。 。要知道它们是一个系统 ,,,,也就是说它们的功效是一起核算的。。。 。每一个表皮基内情胞释放的任何因子 ,,,,是配合联系相互作用的。。。 。以是说我们不但仅要从外面给予皮肤保唬;;;; ,,,,更主要的是要立体式保唬;;;; ,,,,也要从消化道内源供应表皮营养。。。 。从表皮基底层到角化层 ,,,,共约30层细胞。。。 。也就是说细胞从基底层最先一层层向上推进再生 ,,,,一层细胞的功效低于一层 ,,,,最后形成角质细胞 ,,,,角质细胞是完全没有功效的。。。 。这30层分四大类:基内情胞层、棘层、颗粒层、角化层。。。 。唬;;;;谇榘窃⒉ ,,,,棘层是生发层 ,,,,颗粒层细胞代谢相对缓慢 ,,,,可是细胞已经退化并形成含有许多颗粒物质的细胞 ,,,,这是人类进化得来的。。。 。?????帕2愦τ诠πР ,,,,颗粒层与角化层之间的关系是:颗粒层以下是功效层 ,,,,角化层不是功效层 ,,,,是屏障层。。。 。?????帕2愕闹饕姑欠阑质。。。 。如一些外界的酸碱物质对机体有影响的话 ,,,,一到颗粒层就被阻止了。。。 。棘层除有生爆发用外还具有防水作用 ,,,,它是真正的防水层。。。 。表皮要生长 ,,,,谁供应营养??????它的营养泉源有两个渠道:一个渠道从血管来 ,,,,血液中的营养通过棘层渗入 ,,,,渗到颗粒层 ,,,,人的皮肤美不美 ,,,,只要皮肤下有正常的血液循环皮肤就是漂亮的。。。 。但颗粒层以外的细胞血液供应不了 ,,,,由人体的另一个供应渠道供应。。。 。各人也许不知道 ,,,,汗腺除了渗透汗液调理体温以外尚有一个大功效 ,,,,就是作为皮肤表皮外15层很主要的营养供应器官(水相) ,,,,另外一个营养物质是皮脂(油相) ,,,,是由皮脂腺爆发出来的 ,,,,是可消融的脂肪酸 ,,,,这两者水相和油相自动乳化 ,,,,笼罩在角质层外貌 ,,,,营养着皮肤表皮上半部分细胞。。。 。以是皮肤渗透的汗液和皮脂少了不可 ,,,,多了也不可。。。 。这也是我们平时所说的干性皮肤和油性皮肤的分类依据 ,,,,现实上 ,,,,不管哪项多了少了都欠好。。。 。皮肤的颗粒层和棘层在内外营养的作用下 ,,,,还能爆发一系列自己所需要的物质。。。 。以是有了它 ,,,,外貌的角质层才华看起来细腻水润。。。 。

      【渗透压与皮肤生命的先天关系】
      社会上的许多美容化妆品虽然也思量到了油相和水相 ,,,,打着保唬;;;;てし舻钠熘 ,,,,但仔细剖析就会发明问题。。。 。那些化妆品用的水是什么水呢??????是去离子水。。。 。为什么选这种水??????由于这种水是低渗的(图5)。。。 。皮肤干燥 ,,,,他们就想使用低渗的作用让水渗入至皮肤内。。。 。由于它低渗 ,,,,水分子就会渗入皮内 ,,,,并且速率很快。。。 。而油呢 ,,,,早先都用矿物油 ,,,,现在有的也用植物油 ,,,,但不管是矿物油照旧植物油 ,,,,都没有实现其向可溶性脂肪酸类物质的转变。。。 。而凯发k8再生物质用的都是可消融的油。。。 。某些化妆品里的脂肪酸是不可溶性的 ,,,,涂在皮肤上只能笼罩 ,,,,没有营养皮肤表皮细胞15层的作用 ,,,,只是安排 ,,,,反倒是涂抹多了之后梗塞皮脂腺渗透孔 ,,,,就会造成粉刺。。。 。水是使用低渗作用 ,,,,来解决让水渗进去 ,,,,想法很好 ,,,,但低渗作用究竟对皮肤有没有利益呢??????医学上早已有定论 ,,,,所有的化妆品、护肤品都危险皮肤。。。 。?????晌O掌し粑裁椿褂媚兀?????就是由于大自然的破凰淙化妆品还厉害 ,,,,是用损伤小的取代损伤大的。。。 。唬;;;;逼返乃鹕嗽谝窖弦恢泵幻魅匪幕 ,,,,我们明确了 ,,,,明确起来很是容易。。。 。

      首先剖析 ,,,,汗液不是纯粹的水 ,,,,我们解决这个难题不是凭证别人的想法 ,,,,也不是别人的理论 ,,,,是凭证人体皮肤自我保唬;;;;さ男睦砘。。。 。我们剖析汗液含有多种因素 ,,,,汗液的渗透压是等渗的 ,,,,和组织液、细胞内液的渗透压力是相等的。。。 。以是汗液笼罩在皮肤外貌乳化以后 ,,,,完全起到一个与组织和细胞相等的自我交流的关系 ,,,,汗液是多种因素的溶液。。。 。以是人出了汗 ,,,,水蒸发了剩下的盐 ,,,,全是离子 ,,,,就是这个盐在液体内里就形成了渗透压。。。 。若是是低渗的水 ,,,,则这低渗的液体使用渗透压的关系很快进入到组织间液 ,,,,虽然使用低渗能很快将水送进去 ,,,,但组织间是由细胞形成的间隙 ,,,,细胞间隙内里也就成了低渗。。。 。这低渗的组织间液又进入了细胞内 ,,,,最终把细胞胀大 ,,,,过多之后就会导致细胞破碎(图6)。。。 。我们曾做过实验 ,,,,用一个离心机 ,,,,一个红细胞脆性试验的试管 ,,,,做我们医学上常做的细胞脆性实验。。。 。把化妆品放入离心机里离心 ,,,,让水相油相疏散开 ,,,,再把水相吸出来 ,,,,把红细胞放入水相中 ,,,,若是红细胞破了 ,,,,这个化妆品就没有保唬;;;;は赴淖饔 ,,,,若是红细胞没有破就有保唬;;;;は赴淖饔。。。 。凭证这个结论 ,,,,许多化妆品不可卖了 ,,,,由于它会把红细胞胀破。。。 。这种步伐使去离子水渗入皮肤 ,,,,进而造成细胞水肿导致皮肤老化 ,,,,以是越用化妆品皮肤就越容易朽迈。。。 。而有些人由于皮肤经常接受美容 ,,,,特殊容易损伤至棘层、颗粒层 ,,,,以是说这种美容是越美容越朽迈 ,,,,必需涂抹油脂和粉质化妆品遮掩 ,,,,不然皮肤很难看。。。 。唬;;;;逼返牡蜕嗫捶ㄊ峭耆У ,,,,由于它的水相要求只能用去离子水来包管它的要求。。。 。虽然它之以是用去离子水尚有一个剂型的要求 ,,,,可以使霜剂型不散 ,,,,有离子就会影响化妆品的稳固性。。。 。

      凯发k8皮肤再生霜剂的水相是等渗的液体 ,,,,是用鲜的植物组织液制成的 ,,,,涂在皮肤上坚持了皮肤的生态渗透压。。。 。
      另外 ,,,,我们用的油是可溶性脂肪酸 ,,,,这是最要害的一点 ,,,,若是是不可溶性脂肪酸 ,,,,它就无法渗透到皮肤外貌的数层之内 ,,,,和颗粒层细胞爆发协同保唬;;;;ぷ饔。。。 。也可以说不可溶性脂肪酸涂抹在皮肤上不透气 ,,,,只能起到隔离的作用 ,,,,而不透气隔离的作用现实上就像人恒久不沐浴一样。。。 。恒久不沐浴的人为什么皮肤老化??????就是由于虽然是自己爆发的脂肪酸在皮肤上 ,,,,但长时间导致许多沉渣废物群集 ,,,,造成皮肤不可呼吸不可代谢 ,,,,不可代谢就会爆发许多化学的酸性或碱性的物质 ,,,,这种不可溶性脂肪酸时间长了就会爆发种种化学反应 ,,,,也就破损了皮肤的PH平衡 ,,,,更主要的是影响了皮肤颗粒层细胞的再生代谢能力和合成代谢能力。。。 。
      天下上化妆品无论配方怎样 ,,,,这些外源性化妆品都很难进入到真皮。。。 。之以是这么说 ,,,,是由于在基内情胞层下面有一个膜(图7) ,,,,这个膜不但是为了表皮与真皮的毗连 ,,,,这也是解决皮肤器官再生回复的一个最主要的手艺环节。。。 。这个基底膜具有半通透性 ,,,,在皮肤和断指再生治疗手艺上 ,,,,我们仿生了这个膜 ,,,,这层膜的下面有血管、神经 ,,,,但血管过不了这层膜。。。 。若是你的皮肤一旦出血 ,,,,就说明是这层膜破了。。。 。我们看到的血丝 ,,,,都是在基底膜之下的 ,,,,除非异常的血丝 ,,,,有些病变的可以突出到基底膜之上。。。 。正常的心理情形下 ,,,,血管都在基底膜下 ,,,,胶原纤维也在基底膜下 ,,,,纤维无法通过 ,,,,唯一能通过的是神经末梢。。。 。(图8)神经延伸到基底膜 ,,,,基底膜外面尚有一层膜包绕在神经外面 ,,,,一但穿过了这个膜就成了没有膜包绕的纤维 ,,,,叫神经纤维的袒露端 ,,,,以是膜上面除去表皮的四大层 ,,,,尚有一些无包膜的神经末梢纤维。。。 。因此触摸的时间会泛起感受。。。 。


     【再生物质导入与皮肤再生的代谢】
     皮肤基底膜的主要性在于它有半通透性 ,,,,这是皮肤器官真皮对外呼吸的主要通道之一 ,,,,也是人体通过皮肤呼吸的途径。。。 。人体的呼吸有两种方法 ,,,,一种是肺的呼吸 ,,,,一种是皮肤代谢通道的呼吸。。。 。皮肤氧的呼吸大都是通过膜的通道(它是个间隙通道) ,,,,当接触氧分子时 ,,,,基底膜的间隙就扩大了 ,,,,氧分子就进来了。。。 。高空跳伞的人 ,,,,他可以在高空时把皮肤吸收氧的外貌积增添 ,,,,从而增添皮肤的含氧量 ,,,,就是由于半透膜对氧具有通透性。。。 。唬;;;I杏芯褪瞧し舻牡绾傻枷 ,,,,电荷导向是很是主要的 ,,,,就像超声波等 ,,,,可是这里并不是什么都可以通过 ,,,,它最主要的是使那种没有电荷或电荷相同的通过 ,,,,任何有电荷的都需要选择一下。。。 。好比说胶原卵白 ,,,,我们曾做过试验 ,,,,看能不可把水解的胶原卵白导入皮下 ,,,,可最后效果是不管是用何种要向导入 ,,,,都没有步伐使其进入 ,,,,这说明皮肤它不接受这种物质。。。 。虽然胶原卵白作为大分子的卵白也不可能被导进去 ,,,,若真导进去 ,,,,这就成了异体卵白 ,,,,对人体有害。。。 。我们剖析水解的胶原卵白之以是导不进去 ,,,,可能是由于卵白质的组成结构氨基酸的缘故原由 ,,,,氨基酸在某种情形下是带电荷的 ,,,,这个水解胶原卵白因此也带电荷 ,,,,并且可能与这层膜相选择的电荷相反 ,,,,以是不可能进入到皮肤内里去 ,,,,纵然我们用高压氧硬压的要领也不可。。。 。以是这层膜在真皮的美容上很要害 ,,,,要想抵达皮肤器官再生回复的效果 ,,,,皮肤营养物质必需得通过基底膜进入到皮肤内里去。。。 。
     凯发k8再生物质能不可透进皮肤??????虽然能 ,,,,我们做过试验 ,,,,在眼袋导入再生物质 ,,,,每次都能显着地看到眼袋饱满起来了 ,,,,这说明那些再生物质被导入进去了。。。 。表皮下是真皮 ,,,,我们对真皮的再生回复主要有两大目的 ,,,,一个目的是把附件的功效更新 ,,,,另一个就是使真皮成纤维细胞再生及纤维变年轻 ,,,,散状纤维丝成束 ,,,,同时填充组织。。。 。如图所示(图9、图10) ,,,,附件包括汗腺和皮脂腺 ,,,,汗腺是

汗腺渗透细胞。。。 。毛囊细胞是从卵胚最先的一个新的细胞 ,,,,是一个自力的家族。。。 。人的身上有三种毛:短毛、长毛和毳毛 ,,,,头发为长毛。。。 。从胚胎时期最先 ,,,,生长毛发的细胞就有三个差别原发细胞 ,,,,一个是长长毛的 ,,,,一个是是非毛的 ,,,,一个是长毳毛的 ,,,,毳毛即汗毛。。。 。它们爆发的时间差别 ,,,,短毛和长毛是来自于最原始的卵胚 ,,,,而汗毛可来自于表皮干细胞 ,,,,也就是角卵白19型家族。。。 。以是大面积深度烧伤时愈合以后都能长汗毛 ,,,,但长不了长毛也长不了短毛。。。 。在这里也告诉各人 ,,,,搪塞脱发应该在人还没有脱落头发前加以控制 ,,,,不让头发脱落 ,,,,一旦毛乳头全脱落了就长不出面发来了 ,,,,能长出的不过是类似于短毛的一些毳毛(图11)。。。 。这是由于在再生时 ,,,,毛发是使用毛发里边贮存的信息机关——隐窝来再生的 ,,,,毛隐窝里贮存有短毛和毛干的信息 ,,,,任何皮肤内里都有这种信息。。。 。由于人的进化造成有些部位不长毛 ,,,,有些长毛 ,,,,这个毛隐窝是由于人的进化所形成的 ,,,,但种族差别 ,,,,毛隐窝则有所差别 ,,,,就像美国人身上有许多毛 ,,,,但那也是短毛而不是长毛。。。 。咱们亚洲人皮肤较量平滑 ,,,,棕色人、黑人也较量平滑 ,,,,是由于隐窝较量弱 ,,,,不长那么长的毛。。。 。我们曾研究过怎么能让光秃头顶长出细毛 ,,,,当初我们把每个细胞都拿出来 ,,,,看是哪一种细胞长的 ,,,,发明都是毛隐窝长的。。。 。虽然一旦失去了毛囊就不可再长头发了 ,,,,可是只要毛隐窝还在 ,,,,就尚有长毛的功效 ,,,,每一个隐窝都能长出一个毳毛来。。。 。社会上某些生发产品就是刺激这个隐窝的细胞 ,,,,但这种刺激所长出的毛很懦弱 ,,,,一碰就掉了 ,,,,一旦没有刺激作用了 ,,,,这毛发就不长了。。。 。我们在烧伤治疗中也发明 ,,,,只要有皮肤爆发就有毳毛 ,,,,虽然手掌除外 ,,,,手掌是没有毳毛的 ,,,,这是遗传的特征。。。 。有人问男性的髯毛是什么毛??????这个毛有短毛的种类 ,,,,也有长毛的种类 ,,,,主要是长毛种类。。。 。

      皮肤放大以后可以看到许多毛孔 ,,,,随时都可能爆发转变 ,,,,用一些扩毛孔的、散毛孔的要领美容是很是不科学的 ,,,,是破损皮肤功效的 ,,,,应该让皮肤自身调理。。。 。真皮的另一个功效是成纤维细胞的功效 ,,,,(图12)成纤维细胞主要功效是合成纤维 ,,,,吐出纤维 ,,,,粘在一起成为纤维束。。。 。随着年岁的增添 ,,,,不但表皮老化 ,,,,其真皮内也是胶原纤维逐渐镌汰直至消逝。。。 。成纤维细胞能爆发三种纤维 ,,,,一种是胶原纤维 ,,,,一种是弹力纤维 ,,,,尚有一种是网状纤维。。。 。若是是一个年轻的功效好的细胞爆发的丝 ,,,,就是强壮的束 ,,,,这样多个束在皮肤内里 ,,,,皮肤就饱满和有弹性了。。。 。可是也不是光有丝就行了 ,,,,例如疤痕 ,,,,那就是由于杂乱无章的胶原卵白丝太多了 ,,,,没有结缔组织心理结构多余的空间了 ,,,,胶原卵白丝交织 ,,,,就形成较硬的疤痕。。。 。爆发胶原卵白量的几多 ,,,,就在于真皮内里其他结缔组织的调控和上皮细胞的调控 ,,,,一个调控是靠上皮细胞和成纤维细胞之间的关系调控 ,,,,另一个调控是靠结缔组织保存其他细胞内里的调控。。。 。结缔组织的调控主要是人朽迈了以后爆发这些纤维的量镌汰。。。 。我们这里主要说说上皮细胞和成纤维细胞的关系。。。 。正常皮肤的细胞结构比例是:一个上皮细胞比四个纤维细胞 ,,,,一比四。。。 。人的瘢痕组织是一个上皮细胞比九个以上胶原纤维细胞。。。 。长疤痕的人就是胶原纤维细胞增生 ,,,,长萎缩性疤痕的人是弹力纤维细胞增生 ,,,,不是胶原纤维细胞增生。。。 。可是不管皮肤有没有疤 ,,,,都泛起上皮细胞和纤维细胞一比十几以上的关系 ,,,,一个增生性疤痕是一比二十的关系 ,,,,也就是一个上皮细胞配上二十个纤维细胞 ,,,,那就是正凡人皮肤朽迈的缘故原由。。。 。
      上述内容说明再生回复主要的是要恢复其皮肤正常的心理功效。。。 。正凡人的皮肤朽迈了 ,,,,意味着他皮肤的许多功效缺失了或退化了。。。 。因此凯发k8皮肤再生必需控制细胞 ,,,,让细胞强壮 ,,,,恢复正常心理功效。。。 。我们在实践中就启动了角卵白十九型干细胞 ,,,,虽然也可以启动角卵白十九型以下的细胞。。。 。我们首先把表皮基底层细胞启动起来 ,,,,使它可以增添生命活力 ,,,,重修 ,,,,同时成纤维细胞也更新。。。 。一个90岁的老人 ,,,,基内情胞只有5%是有功效的。。。 。人一旦朽迈了 ,,,,细胞就难以再生到足够的数目 ,,,,以是一定要包管再生物质的量 ,,,,确保细胞的功效。。。 。一样平常来说 ,,,,成纤维细胞的功效 ,,,,随着年岁的增添会代谢低下 ,,,,这个低下指的是爆发纤维的速率减慢、爆发的量镌汰 ,,,,爆发的胶原纤维不可束。。。 。一个正常细胞爆发的纤维如左图所示(图13) ,,,,一个朽迈的细胞爆发的纤维如右图所示。。。 。(图14)这个朽迈的细胞爆发的丝是杂乱无章的 ,,,,没有弹力 ,,,,又散又少。。。 。人老了 ,,,,在细胞里爆发的原纤维


就杂乱无章 ,,,,成纤维细胞吐出来的纤维也就不可束了。。。 。以是他的皮肤组织内里就是朴陋的 ,,,,皮肤就不紧致。。。 。我们再生物质的功效就是要把这种细胞不正常的功效纠正过来。。。 。我们要增添细胞的活性。。。 。皮肤真皮的饱满水平 ,,,,是靠成纤维细胞活力的增强来实现的。。。 。在活力没有增强之前先把爆发的纤维成束 ,,,,一边成束 ,,,,一边更新。。。 。这样就泛起一个坚持年轻回复状态。。。 。这个皮肤再生回复的时间问题涉及代谢时间问题。。。 。表皮的创伤性修复速率快 ,,,,一样平常7天修复完成。。。 。一个正凡人的表皮心理代谢 ,,,,则是7天一层 ,,,,基底层到角质层是30层细胞 ,,,,三七二百一十天。。。 。一个完全晒黑的人经由210天可以回复回原来的颜色。。。 。皮肤外貌的黄褐斑、晚年斑我们都可以解决 ,,,,但不是用激光、光子消掉就可以了 ,,,,这样还会再长 ,,,,由于是细胞的异常属性没变。。。 。我们是用再生改变这个细胞的异常属性 ,,,,激活二次生命细胞 ,,,,使皮肤再生回复。。。 。
      真皮的结缔组织代谢时间一样平常是半个月 ,,,,这也和季节转变有关系。。。 。我们从人体上视察较量多的是胃肠粘膜 ,,,,到3个月的时间 ,,,,胃肠粘膜显着爆发了改变 ,,,,已经更新。。。 。胃肠粘膜增添速率是3个月 ,,,,皮肤也是这样 ,,,,可是还没有很是准确的数字。。。 。表皮较量显着 ,,,,表皮的损伤性修复四大层完成需要7天的时间 ,,,,这也从表皮烧伤需要7天、外貌的激光也是几天修复就可以看出来。。。 。但真皮修复都在3周以上 ,,,,真皮的再生 ,,,,也只有我们做到了 ,,,,别人都是疤痕修复。。。 。比真皮再深的损伤 ,,,,一样平常也没有凌驾4周修复的。。。 。
【皮肤再生回复的动物试验数据】
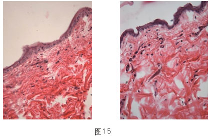
     我们做了明确鼠试验 ,,,,喂养的两批老鼠都是300天的成年白鼠 ,,,,一组吃膳素 ,,,,10%的;;;;;;一组比照 ,,,,同样的量喂养 ,,,,喂到826天 ,,,,喂再生物质的这组除去两个拉肚子殒命的 ,,,,剩下都在世。。。 。  而比照的那一组 ,,,,只有一只活到826天 ,,,,其他都在550天左右殒命。。。 。把所有脏器做组织切片(图15) ,,,,试验组老鼠的皮肤

是年轻的 ,,,,比照组就是退化的 ,,,,所有器官都是一样 ,,,,吃再生物质活到826天 ,,,,凌驾正常老鼠寿命一倍的老鼠的皮肤器官和活到300天的老鼠的器官是一样的 ,,,,没有朽迈。。。 。老鼠的平均寿命年岁是480天。。。 。凯发k8老鼠活到826天 ,,,,剩下的养到凌驾一千天 ,,,,已经是正常老鼠的近三倍寿命年岁。。。 。这是我们实验的效果 ,,,,我们在用更多的试验证实。。。 。按老鼠的寿命年岁折算 ,,,,再生喂养到200岁和中年鼠是一样的 ,,,,依旧年轻。。。 。皮肤正常的基内情胞是柱状的 ,,,,老化的体现就是表皮细胞塌陷 ,,,,不代谢了 ,,,,只有几个是柱状的。。。 。真皮就剩几个框架 ,,,,胶原纤维没有几多 ,,,,连结缔组织也剩了几个框架 ,,,,毗连的纤维也没有几多了。。。 。明确鼠皮肤这个效果还只是靠口服抵达的效果 ,,,,并没有皮肤外在的导入 ,,,,就能抵达这么好的效果。。。 。?????梢哉饷此道鲜笃し粢蛔钕染褪钦庋 ,,,,我们把它维持住了。。。 。若是已经老了想变原来最年轻也不太可能 ,,,,由于纤维束已经散了。。。 。我们用氧气把再生物质从基底膜导入进去 ,,,,这些再生物质再进入组织的各个部位。。。 。虽然我们也让这些细胞从血液内里获得再生物质 ,,,,方法就是口服。。。 。以是凯发k8会所器官再生是全项的 ,,,,而不是简单项目 ,,,,以上内容主要是针对皮肤的。。。 。
      这是皮肤内里一个成纤维细胞爆发丝然后吐丝(图16) ,,,,但朽迈的细胞就吐不出丝来 ,,,,如想年轻 ,,,,就必需让它举行自我更新。。。 。我们要做的就是把成纤维细胞酿成成纤维母细胞。。。 。要通过皮肤组织内里的间质细胞 ,,,,启动第二次生命细胞 ,,,,让间质细胞爆发新的成纤维母细胞 ,,,,而不是使用这些成纤维细胞的第一次生命 ,,,,更不是由成纤维细胞酿成成纤维母细胞。。。 。这里的成纤维母细胞就是脂肪结缔组织内里的间质细胞爆发的。。。 。

     【皮肤再生的细胞学转变】
      皮肤上皮细胞泉源于角卵白19型 ,,,,角卵白19型细胞可以从间质细胞转变 ,,,,可以从肉芽组织转变 ,,,,也可以从骨髓细胞转变。。。 。我们在骨头上打上孔 ,,,,取肉芽连忙去做细胞判断 ,,,,很快就会泛起角卵白19型。。。 。比及肉芽组织平了 ,,,,马上就酿成角卵白19型皮肤细胞 ,,,,同时也会发天生纤维母细胞。。。 。一定要始终坚持真皮组织内里有成纤维母细胞需要的再生物质 ,,,,才华激活成纤维母细胞 ,,,,或者保养好这种细胞 ,,,,使它爆发新的胶原母细胞。。。 。晚年人已经有了朽迈的纤维细胞 ,,,,我们就用导入再生物质的要领使这纤维再成束 ,,,,一边让它成束 ,,,,一边再让成纤维母细胞成活 ,,,,更新 ,,,,取代这些朽迈的成纤维细胞 ,,,,爆发更多的纤维。。。 。这个时间很慢 ,,,,半年能够收效 ,,,,由于还要把朽迈的纤维束吸收降解掉 ,,,,而这种纤维束会随着凯发k8脂肪酸代谢而吸收 ,,,,究竟多长时间才完全竣事 ,,,,时间还不敢确定。。。 。现在只能说半年时间会有一个较为显着的效果。。。 。阻止再外行艺操作 ,,,,就会阻止在其时的再生回复状态。。。 。长时间不做器官再生回复 ,,,,就会在已经获得再生的基础上继续老化。。。 。由于皮肤的代谢是7天一层 ,,,,我们就是用这种容易代谢可以随淋巴进入血液的再生物质 ,,,,抵达7—10天就代谢掉。。。 。若是2—3个月没有做再生回复养生 ,,,,皮肤仍体现在再生后的状态 ,,,,说明皮肤细胞已经再生了。。。 。可是没有一连的再生营养 ,,,,细胞饿了 ,,,,就不会继续再生了。。。 。我们要享受的就是第二次再生生命。。。 。若是阻止了再生育生 ,,,,它就会在现有的基础上继续老化。。。 。

     我们这里说的是成纤维细胞 ,,,,不是成纤维母细胞(图17-A)。。。 。母细胞在皮肤真皮内里时刻保存。。。 。随着年岁的增添 ,,,,母细胞、干细胞越来越少。。。 。现在我们是要激活和启动它。。。 。就像在烧伤的外貌怎样长出新的皮肤。。。 。驾驭它的生长 ,,,,需要条件的配合。。。 。一个成纤维细胞 ,,,,随着朽迈 ,,,,泛起空泡、朴陋 ,,,,细胞核渗透也不兴旺 ,,,,细胞质里的原胶原纤维杂乱无章。。。 。先说细胞核 ,,,,再生物质被导入细胞后 ,,,,细胞核膜变为规整的 ,,,,虽然它是朽迈的 ,,,,但经由再生物质的营养强心 ,,,,又有了能量。。。 。从原胶原纤维说 ,,,,细胞质内里的原胶原没吐出来之前是杂乱无章的 ,,,,经由凯发k8再生物质的导入 ,,,,细胞吐出的胶原纤维就顺了 ,,,,这是细胞内里的状态。。。 。导入再生物质后成纤维细胞内的转变(图17-B) ,,,,细胞内纤维有序 ,,,,细胞生长兴旺。。。 。再生物质导入之后 ,,,,细胞的能量就增强了 ,,,,代谢兴旺 ,,,,自动的调理纤维。。。 。由于胶原纤维卵白在原胶原时期是通详尽胞内里的氨基酸、脂肪酸的代谢形成的。。。 。人体有8种必需氨基酸 ,,,,胶原纤维卵白就占有7种 ,,,,同时还多了一样平常不代谢的羟脯氨酸。。。 。氨基酸代谢是细胞自身的能力 ,,,,由于细胞的朽迈 ,,,,线粒体功效削弱 ,,,,爆发不了细胞合成和需要的ATP能量 ,,,,合成的纤维就杂乱无章。。。 。而纤维合成完了 ,,,,才荟萃起来组织输出。。。 。以是说一个朽迈的胶原纤维细胞吐出的就是缺少粘性的丝。。。 。胶原卵白丝是以胶原卵白为主 ,,,,可是丝和丝之间的毗连是一种脂肪酸 ,,,,这个脂肪酸必需是可溶性的 ,,,,可代谢掉的 ,,,,不会“钙化”的。。。 。导入再生物质之后 ,,,,丝和丝之间马上就连在一起成束。。。 。康健的细胞吐出来的才是束 ,,,,不康健的细胞吐出来的只是丝。。。 。凯发k8发明是在烧伤上发明并研究出来的。。。 。我们用种种步伐把这种再生物质导入皮肤 ,,,,取出部分细胞剖析 ,,,,皮肤在转变 ,,,,导入前和导入后完全不是一个样。。。 。现在的器官再生回复也是一个原理 ,,,,许多皱纹 ,,,,导入再生物质后 ,,,,会变浅 ,,,,甚至消逝不再需要化妆。。。 。最终的目的呢 ,,,,是要把不正常的细胞变为正常的细胞。。。 。从外貌的感受呢 ,,,,就是把皮肤酿成正常的束。。。 。?????梢运灯し艉穸纫谎匠K婺晁暝鎏砘嵩嚼丛奖 ,,,,而我们一定要让皮肤变厚才真的抵达效果。。。 。这个变厚试验已经做出来了 ,,,,下面就是某女士的脸 ,,,,是凯发k8规范标准(图18) ,,,,

这个皮肤再生回复是两个月多 ,,,,不到三个月 ,,,,各人看这个脸型 ,,,,原来的皮肤是原来的美容效果 ,,,,照片都是皮肤外貌洗濯清洁以后拍摄的 ,,,,可以看到 ,,,,外貌不平滑 ,,,,看上去面部外貌由于涂抹化妆品很亮 ,,,,现实是高低不平的 ,,,,前面已经先容过 ,,,,已经整理到颗粒层了 ,,,,把角化层都整理了 ,,,,必需在皮肤外貌涂抹化妆品。。。 。此后面的照片呢 ,,,,就是整个皮肤厚 ,,,,是表皮的厚度完成了 ,,,,由棘层、颗粒层和角化层组成。。。 。而角化层起到看不见的屏障作用 ,,,,这是从外貌来看。。。 。从真皮来看 ,,,,那是厚薄的差别 ,,,,从我们这个图片上来看 ,,,,随着年岁增添皮肤会塌陷 ,,,,有两种塌陷:一个是皮下组织塌陷 ,,,,是肌肉和脂肪组织萎缩;;;;;;一个是皮肤塌陷 ,,,,皮肤塌陷是下坠 ,,,,皮肤一下坠就撑不起来 ,,,,后面这张照片是再生不到三个月的 ,,,,可以看出皮肤撑起来了 ,,,,最难堪的就是皮肤撑起来的饱满 ,,,,要一连坚持这样饱满那就解决问题了。。。 。若是一个三十几岁的人 ,,,,皮肤还没有下坠 ,,,,那举行再生就可以坚持了 ,,,,就像我们已经乐成了的明确鼠试验一样 ,,,,可以坚持了。。。 。那些皮肤已经朽迈的我们可以让皮肤恢复。。。 。从颈部来说 ,,,,原来的照片塌陷得很显着(图19) ,,,,我们可以让皮肤变得饱满 ,,,,但必需始终包管每一次都将再生物质导入进去 ,,,,导入不到皮肤内细胞就没有再生营养了 ,,,,一旦阻止器官再生皮肤就不再坚持再生的最佳状态了 ,,,,但不会回到再生前的状态。。。 。颈部皮肤很是松懈 ,,,,与面部皮肤组织差别 ,,,,面部以胶原纤维为主 ,,,,颈部弹力纤维增多了 ,,,,同样导入再生物质 ,,,,在面部可爆发大宗胶原卵白 ,,,,在颈部爆发较少 ,,,,由于颈部弹力纤维多 ,,,,这就是为什么现在颈部效果会差一点 ,,,,我们未来导入再生物质的量 ,,,,颈部要凌驾面部2—3倍 ,,,,才华起到更好的导入作用。。。 。
      以上是基来源理 ,,,,皮肤既然都能再生 ,,,,色斑、晚年斑祛除就更容易解决了 ,,,,包括粉刺、脂肪粒等通常异常的 ,,,,不管何等严重 ,,,,只要能再生出新的皮肤就完全可以解决。。。 。

【网站地图】【sitemap】